便秘のお子さんが増えています。運動不足と食物繊維摂取不足が一因と言われていますが、それだけでは無さそうです。当院では以下の原則を元に早期診断、早期治療を心がけています。また超音波検査を行い、直腸の貯留便の評価を行って診断,治療の参考にしています。
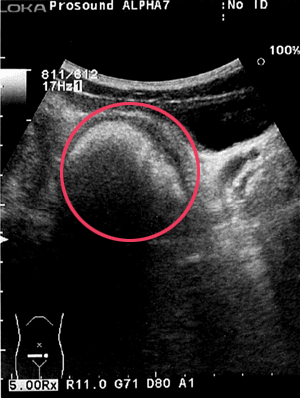
1.直腸の便塊

音響反射は強く、硬便である事が推測される。
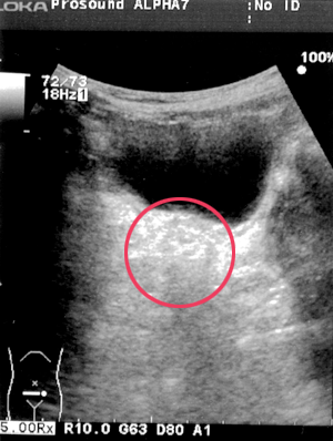
2.習慣性便秘の浣腸後の直腸

便貯留のためか、排便後も直腸径が縮小しない。
3.別人の直腸

偶発的便秘の浣腸後の直腸。径は縮小。
(1)排便時に肛門の痛みを経験させない。
先ず、子供は”排泄は面倒”と思っているとお考えください。面倒なものに苦痛が加われば、当然それ(排便)を回避します。おむつを卒業した幼児が、おしっこを我慢しながら遊びに熱中する場面によく出会います。
おしっこでは、膀胱の容量が一定のため我慢できませんが、一方、伸縮性があり口側に開放された直腸では、ある程度我慢ができ、その間に便が硬くなり、便塊も大きくなり、ますます排便が苦痛になります。
(2)便秘はクセになるが浣腸はクセにならない。
便秘治療の基本は便を貯留させない事で、そのために薬を使用したり、浣腸を行います。
基本的に子供は浣腸を嫌がりますが、時に心を鬼にして、してやらなくてはならない場面がある事を覚悟してください。
(3)排便は習慣なので、便秘治療は時間が必要。
たまたま良い便が続くと、治療を中断される保護者がおられます。しかし便秘は再発が多く、痛みを再度経験し、治療が振り出しに戻る例があります。
排便が習慣化するまでは、細心の注意(毎日の確認や声かけ)が必要です。
(4)排便は習慣の要素があるので、その確率には時間がかかる。
子どもはものを飲み込むのは苦手。とろっとした喉ごしがない野菜は特に苦手です。便秘を子供の野菜嫌いのせいにしない。
大人の理想の排便は、一日分の便を直腸に貯め、朝食後にそれを一気に出しお腹を空っぽにして社会へ。乳児期早期は、噴門-肛門反射で排便(食道から胃に食物が通過すると肛門が開く反射)する。大腸全体に便がありその一部が排便される。子どもの便秘は、赤ちゃん型排便から大人型排便への移行期のトラブルと言えます。
(5)便秘治療は早ければ早い程良い。
子どもの「学習」が作動する前に治療介入する。*学習回路:排便時の痛みを経験する→「排便には苦痛がある」と学習-便意があっても怖いので我慢→便魂貯留→便魂硬化→便魂の拡大→肛門出血を伴い押し出されるように排便→やはり排便は痛い→「我慢」の悪循環に入る。治療はこの「痛み」の忘却を目的とします。したがって、離乳食前の赤ちゃん便秘は、4-5日排便なくてもどろどろウンチなので心配はない。
